Znáš ten pocit, když ráno vstaneš z postele, uděláš první krok… a místo „dobré ráno“ ti tělem projede píchavá bolest? Jako by ti někdo v patě nechal hřebíček. Říkáš si: To nic není, jen jsem asi špatně stoupla… ale za pár dní je to stejné. A pak znovu.
Co to vlastně je?
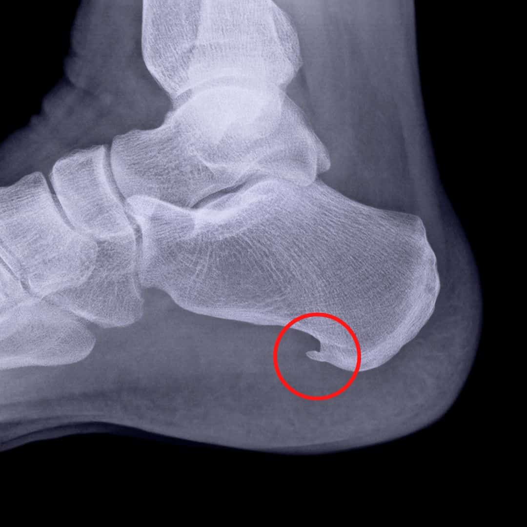
Patní ostruha není žádný zákeřný útvar, který se do těla vetře zvenku. Je to reakce těla na přetížení → konkrétně na dlouhodobé napětí šlachy, která se upíná na patní kost.
Tělo je moudré a za každou cenu se snaží pomoci. Říka: „Aha, tady je velké tahání, tak udělám to místo pevnější.“ A vytvoří kostní výrůstek, který má chránit. Jenže místo pomoci vzniká problém – bolest. Nejvíc bolí při prvním kroku ráno nebo po delším sezení. Jakmile se „rozejdeš“, bývá to lepší… ale to neznamená, že je po problému.
A co je na tom nejzajímavější?
Většinou nejde o problém s patou. Ale o to, co se děje s celým tělem, když ta pata začne bolet.
Co se při patní ostruze v těle vlastně děje?
Pod patou máme úžasnou strukturu zvanou plantární fascie – pružný „popruh“, který drží tvar nožní klenby a pomáhá tlumit nárazy při chůzi. Když ji dlouhodobě přetěžujeme (špatná obuv, tvrdé povrchy, oslabené svaly chodidel), fascie se začne bránit. Mikroskopické trhlinky → zánět → a tělo, v dobré víře, začne místo hojit kostí. Takhle vzniká patní ostruha.
Proč vzniká?
Příčin bývá víc – a většinou se kombinují:
- přetížení plantární fascie (šlachy na spodku nohy),
- zkrácené lýtko,
- nošení tvrdé nebo špatné obuvi,
- chůze po tvrdém povrchu,
- nedostatek pružnosti ve svalech nohou,
- a velmi, velmi často i neaktivní chodidlo – když se prsty a klenba „neúčastní“ chůze.
A tady se dostáváme k jádru věci.
Tělo je jako orchestr – když jeden nástroj hraje falešně, rozladí se celý. Když přestane správně fungovat chodidlo, letí to tělem nahoru jak pokládající se domino kostky. Přebírají jeho práci kolena, kyčle, záda, promítne se to i do hrudníku, ramen krční páteř a i pánevní dno se nenechá ujít svůj díl. Tohle není teorie, to realita potvrzená mnoha klienty.
Problém je, že s tím začneš chodit jinak – přeneseš váhu, změníš styl kroku.
A co na to klasická medicína?
Dost často nabídne:
- léky proti bolesti,
- rázovou vlnu,
- vložky do bot,
- nebo dokonce injekce kortikoidů v nejtěžších případech i operaci.
Ano, může to pomoct od bolesti. Ale většinou jen na chvíli.… protože to řeší důsledek, ne příčinu. Protože → a teď pozor → problém nezačal v patě, ale v tom, jak se hýbeme. A to se nejspíš nezměnilo, že?
Co tedy opravdu pomáhá?
Místo tlumení bolesti, vrátit tělu pružnost, sílu. To znamená rozhýbat a znovu zapojit to, co se „odpojilo“ – v této chvíli → chodidlo.
Když chodidlo začne fungovat,
- přirozeně se aktivují hluboké svaly v těle, je spuštěna přirozená řetězová reakce, svaly si předávají štafetu a tělo drží hezky pohromadě,
- páteř i kyčle se odlehčí,
- kolena se přestanou přetěžovat,
- a krok získá lehkost
- pánevní dno je přirozeně akční a tím i funkční.
Mimochodem, i pan profesor Pavel Kolář říká, že tělo pracuje v řetězcích – nic se neděje izolovaně. A u patní ostruhy to platí dvojnásob.
Takže pojď Změnit VZTAH k chůzi s svůj POSTOJ. Zní to možná poeticky, ale je to čistá biomechanika.
Když se naučíš znovu vědomě odvíjet krok, rozhýbat prsty, posílit ty malé svalíky v chodidle, které dávno „usnuly“…
Najednou se začne měnit všechno:
- krok se stane lehčím,
- záda se narovnají,
- kyčle se uvolní,
- a bolest, která tě ráno budila, začne mizet.
Jak začít?
Jemně, ale pravidelně. Zkus každý den pár minut věnovat svým chodidlům:
- rozhýbej prsty,
- pomalu odvíjej krok od paty až po palec,
- přitom dýchej a vnímej kontakt se zemí.
Třeba nějak takhle....
Je to jednoduché a hlavně účinné.
A pokud chceš jít víc do hloubky, vytvořila jsem video kurz Pilates pro chodidla a nohy, kde se naučíš všechno krok za krokem.
Na závěr
Patní ostruha je signál těla, že je potřeba něco změnit. A někdy to „něco“ znamená zpomalit, začít vnímat svoje kroky a dopřát nohám, co potřebují. Každý krok může být léčivý – stačí mu dát prostor.
Chceš víc informací a rad co pro zlepšení stavu bolest pat a patní ostruhy můžeš udělat sama a doma? Mám natočené praktické video k dispozici ZDARMA tady: Patní ostruha, co a jak s ní...
Jmenuji se Jolana Novotná – pohybová specialistka, zaměřuji se na DECH, funkční pánevní dno, scelování diastázy a chůzi. Kurz Smysluplné chůze propojuje všechny mé specializace, protože chůze je pro každého člověka nejuniverzálnější pohyb. Vytvořila jsem Streamový klub PILATES což je video knihovna všech mých online kurzů a lekcí pro zdraví celého těla.
Jsem lektorka ve škole pánevního dna Renaty Sahani, absolventka švýcarského pedagogicko-pohybového konceptu Spiraldynamik® Basic LEHRGANG BASIC, lektorka dechové školy Oxygen Advantage®.
Jinak jsem obyčejná žena, která má nespočet talentů a zálib. Od zájmu o zdraví svého těla až po točení na hrnčířském kruhu, zahradničení, cestování. Nepovažuji se za sportovkyni, ale za milovnici funkčního pohybu. Žiju heslem „MÁM SE SKVĚLE VE SVÉM TĚLE“ a „Lépe cvičit než operovat".
Více o mě www.jolananovotna.cz, www.pohyboteka.cz - zde najdete i celou řadu dárků ZDARMA, vyzvedněte si je.

Buďte se mnou v živém kontaktu:
Sledujte můj YouTube a dejte ODEBÍRAT pravidelně vysílám a dělím se o rady, typy, návody i inspirace... ZDE
Přidejte se do FB skupiny: Pohybotéka | Smysluplná chůze | Pánevní dno | Břicho v celku | Dech ... ZDE
